치아교정 벌어진 이빨 내돈내산 한달 리뷰
치아 교정을 시작한지 어느덧 한달이 됐는데요. 교정을 하는 동안 조금씩 리뷰 형태로 변환되는 모습을 적어볼까 하면서 한 달 전에 제가 적어놓았던 글이 있습니다. 한달이 지난 지금의 모습과 비교를 하면서 얼마나 교정이 효과가 좋은지 한 번 알아보려고 해요.
교정 1일차 내돈내산 리뷰에 대한 글이 궁금하신 분들께서는 아래 글을 살펴보시면 됩니다.
2024.09.04 - [마케팅] - 송파구 문정동 치과 -벌어진 치아 교정 시작했어요. 교정 1일차 내돈내산 리뷰
송파구 문정동 치과 -벌어진 치아 교정 시작했어요. 교정 1일차 내돈내산 리뷰
문정동 치과- 치아교정우선 제 이의 상태는 30대 남자, 앞니가 벌어진 모습이 보이고 약간의 부정교합이 있는 상태입니다. 아래 교정 전의 상태를 보여드리고 있구요. 이제부터 처음에는 일주일
three-leaf-clover.tistory.com
우선 교정을 시작하기 전의 모습이에요. 앞니가 많이 벌어진 상태로 점점 조금씩 돌아가고 있는 모습이 정말 보기 싫었는데요. 사실 거울을 보면서도 크게 못 느꼈던게 사실이었기 때문에 아무 생각을 안하고 있었는데, 확실히 교정을 하고 나서 모습을 보니까 잘 한거 같아요.
9월 이전 교정 전 모습


확실히 교정기를 장착하기 전에 많이 벌어진 모습이 보여요. 특히 앞니는 조금씩 더 돌아가고 있어서 교정을 고민하던 중에 결정하게 된 이유기도 해요.
9월2일 교정 1일차


사실 교정기를 장착했을뿐이지 교정이 크게 되거나 한 모습은 없습니다. 당연히 하루 밖에 안됐으니까 그렇겠지만요. 이때만해도 교정이 어떻게 되지? 라고 생각했을때인데요.
9월 10일 교정 일주일 차


교정 시작한지 일주일 정도가 됐을때 입니다. 정확히는 8일 조금 넘은거 같구요. 엄청 크게 느껴지는 모습은 없지만 확실히 앞니가 조금씩 돌아가는 모습을 볼 수 있습니다. 아직까지 엄청 크게 느껴지지는 않지만 앞니가 벌어진 부분이 조금씩 돌아가는것도 느껴지는거 같구요.
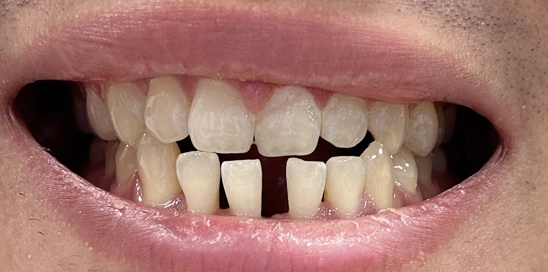
10월1일 교정 한달 차


교정 한달이 지난 모습을 보니까 확실히 앞니의 모습이 많이 괜찮아졌습니다. 처음에는 정말 아팠는데 말이죠. 벌어진 부분이 많이 사라졌고, 돌아갔던 부분도 어느정도 일자로 반듯해지고 있는게 보이네요. 정말 신기하죠? 우선 앞니부터 돌리고 안쪽으로 밀어넣을 예정이라고 하니까요. 1년 6개월 정도 예상을 하고 있는데 벌써 이렇게 반듯해진 모습이 기대가 됩니다.
힘든 부분은 가장 처음에 교정하고 이가 정말 아팠는데요. 이번에는 치과에 다녀와서 밥을 먹어도 엄청 이가 아프지는 않았어요. 다음에 조으고 안쪽으로 밀어 넣기 시작하면 조금 더 아플거 같다고 하는데요..
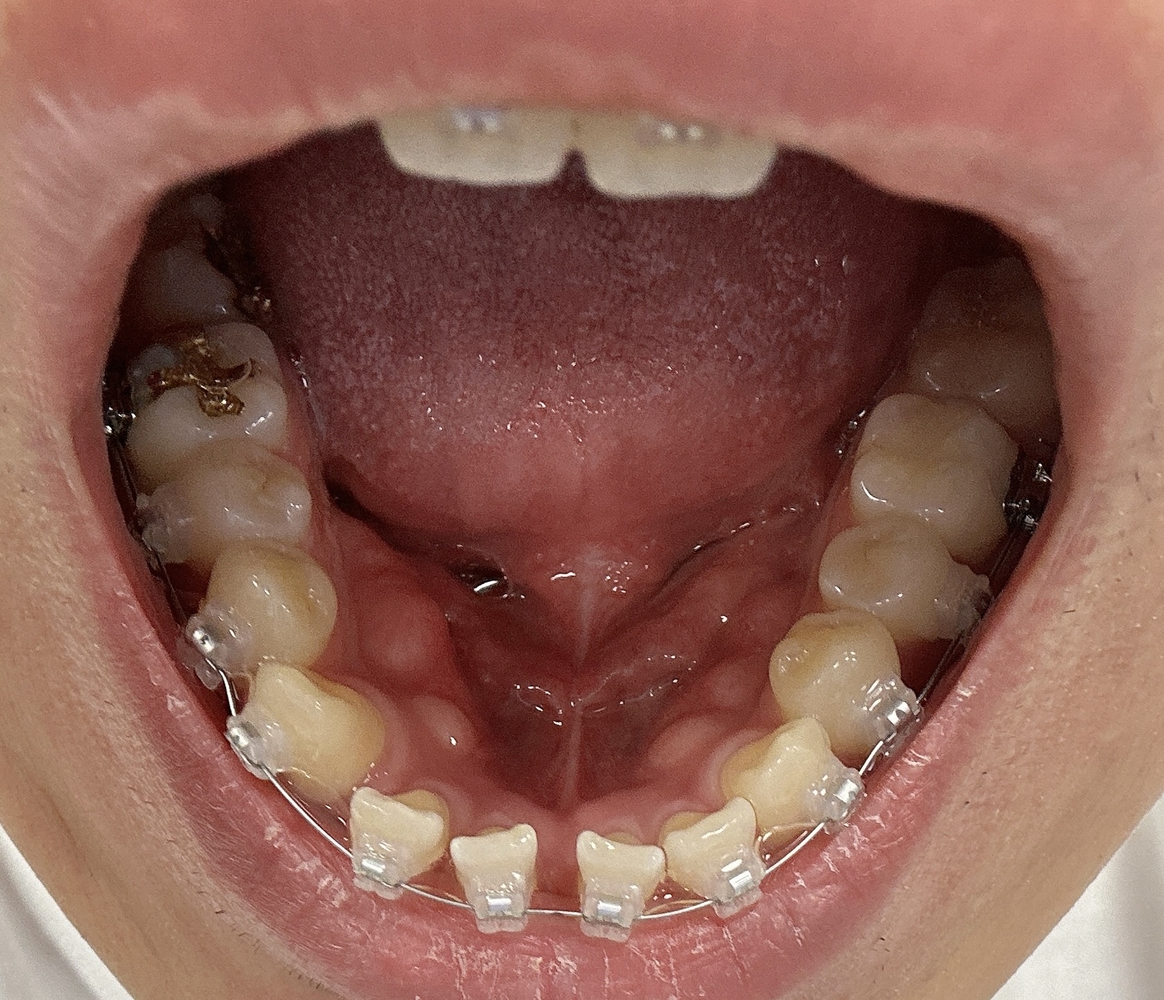
요즘 걱정은 이렇게 붙여놓은 교정기가 한 번 떨어지면 자주 떨어진다고 하는데, 해외여행을 가서 음식을 먹다가 너무 맛있게 먹었던 나머지 떨어져 버렸던것입니다. 그러고 치과 다녀온지 얼마안됐는데 주말에 또 떨어져버리다니..
빨리 가서 붙여줘야하는데. 공휴일이 많고 퇴근시간이 맞춰지지 않아서 당장 교정기를 붙이러 갈 수 없는게 걱정이에요. 무엇보다 계속 이렇게 떨어지면 너무 미안하고, 눈치가 보인단 말이에요! 하지만 교정기가 떨어지면 바로 바로 치과에 가줘야 조금 더 일찍 효과를 볼 수 있다고 하니까. 꼭 가주셔야겠죠.. 저도 시간 나면 어서 가보도록 할 예정입니다.
이렇게 주기적으로 게시글을 통해서 교정을 하고 있는 리뷰에 대해서 일기처럼 적어보려고 해요. 혹시라도 벌어진 치아에 대해서 궁금한 점이 있거나 교정이 되는 모습이 알고 싶다면 언제던 또 리뷰를 봐주시는걸로!
그럼 다음에 또 종종 교정이 진행되는 모습에 대해서 리뷰를 적어보도록 할게요.
'마케팅' 카테고리의 다른 글
| 대만여행 대만 타오위완 공항에서 타이베이 시내 가는 방법 공항철도 MRT 타기 (4) | 2024.10.03 |
|---|---|
| 실여급여 고용보험 수급자격 신청자 온라인 교육 듣는 방법 (8) | 2024.10.03 |
| 일본 도쿄 여행 일본 사케추천 : 도쿄 하네다 공항 면세점 3터미널 준마이 닷사이23 면세점 가격 및 구입 (1) | 2024.10.01 |
| 2025년 일본 연휴 알아보기. 일본여행 피해야하는 날짜는 언제일까? (6) | 2024.09.25 |
| 티스토리 블로그 누적 조회수 100만명 기념 리뷰 및 구글 애드센스 수익에 대한 정리 (0) | 2024.09.25 |
댓글